Media Releases

Back
Thursday, 26 Sep, 2019

Novel bio-therapeutics to target, reverse inflammation and scarring in lungs

Neutralising proteins targeting diseased lung cells can prevent and reverse lung fibrosis in promising pre-clinical study.


SINGAPORE, 26 September 2019 – Scientists have discovered a means of preventing and reversing the effects of inflammation and scarring in a preclinical model of idiopathic pulmonary fibrosis (IPF), a type of lung disease, by targeting Interleukin 11 (IL11), a protein critical to fibrosis and inflammation. Their findings, published in the journal Science Translational Medicine, have implications for developing new drugs to treat this disease.

Through an international collaboration led by Duke-NUS Medical School and National Heart Centre Singapore (NHCS), and involving partner institutions in Germany, USA and the UK, the researchers discovered IPF patients have abnormally high levels of IL11 protein in their lung tissues and that patients with the highest levels in their lungs get the most severe disease. Specific cells called myofibroblasts in the diseased lung cause scarring and these cells are critically dependent on IL11. When IL11 is turned off, these disease cells get turned off and lung fibrosis is reversed.  

“IL11 contributes to lung fibrosis in a self-activating loop by stimulating myofibroblasts that, in turn, produce and release even more IL11,” explained NHCS researcher Dr Benjamin Ng, the study’s lead author. “We showed that IL11 is essential in causing lung fibrosis — in our lab experiments, we found that anti-IL11 therapy protects the lungs from damage.”

Potentially triggered by a multitude of factors including age, genetics and environmental factors, IPF is an incurable lung disease that leads to excessive fibrosis (or scar tissue) around the air sacs in the lung, and eventually respiratory failure and death. Current therapies are limited and have side effects and while they slow the disease a little, they do not stop its progression. 

“Progressive lung scarring, called fibrosis, is a very serious condition that makes it difficult to breathe. In our pre-clinical studies, we discovered that the IL11 protein is critical for fibrotic lung disease and that therapeutically inhibiting IL11 can reverse lung disease,” said Professor Stuart Cook, the senior and corresponding author of the study, who is the Tanoto Foundation Professor of Cardiovascular Medicine, Director of Duke-NUS Cardiovascular and Metabolic Disorders Programme, and Senior Consultant at the Department of Cardiology, NHCS. Prof Cook’s research has previously uncovered the central role of the IL11 protein in fibrosis and inflammation of the liver, kidney and heart. 

In encouraging news for IPF researchers and patients, Prof Cook and his team have developed bio-therapeutics called neutralising antibodies that work by targeting and blocking IL11 to prevent the activation of myofibroblasts. Promising pre-clinical studies revealed that these bio-therapeutics reversed lung fibrosis and improved inflammation.

“Our work in lung disease highlights once again the pervasive role for IL11 in fibrosis across organs. We successfully inhibited lung fibrosis by blocking IL11 using an anti-IL11 therapy. This prioritises IL11 as an accessible drug target in lung fibrosis,” Prof Cook stated.

According to estimates, IPF affects over three million people worldwide, primarily people over the age of 50 and more men than women. Professor Patrick Casey, Senior Vice Dean for Research at Duke NUS, commented, “Given the increasingly ageing populations across Asia, there will be an increase in the number of persons at risk and the incidence rate of IPF. That makes new avenues for treatment all the more critical, and this research provides a promising direction.”

The antibodies used by the research team have now been engineered for human use and first safety clinical trials are planned for late 2020, with a view to clinical trials in patients soon thereafter. Prof Cook’s team are continuing their research efforts to better understand the contribution of IL11 in other fibrotic diseases of the skin, pancreas, eye and bone marrow.

Prof Cook is also Director of the National Heart Research Institute Singapore and Deputy Director (Clinical) of the SingHealth Duke-NUS Institute of Precision Medicine. He is one of the co-founders of the biotechnology company Enleofen Bio Pte Ltd in Singapore, which works to develop anti-IL11 therapies.

Fluorescence imaging of fibrotic lung
IL11 contributes to lung fibrosis in a self-activating loop by stimulating lung myofibroblasts. (Photo credit: Dr Lim Wei-Wen)

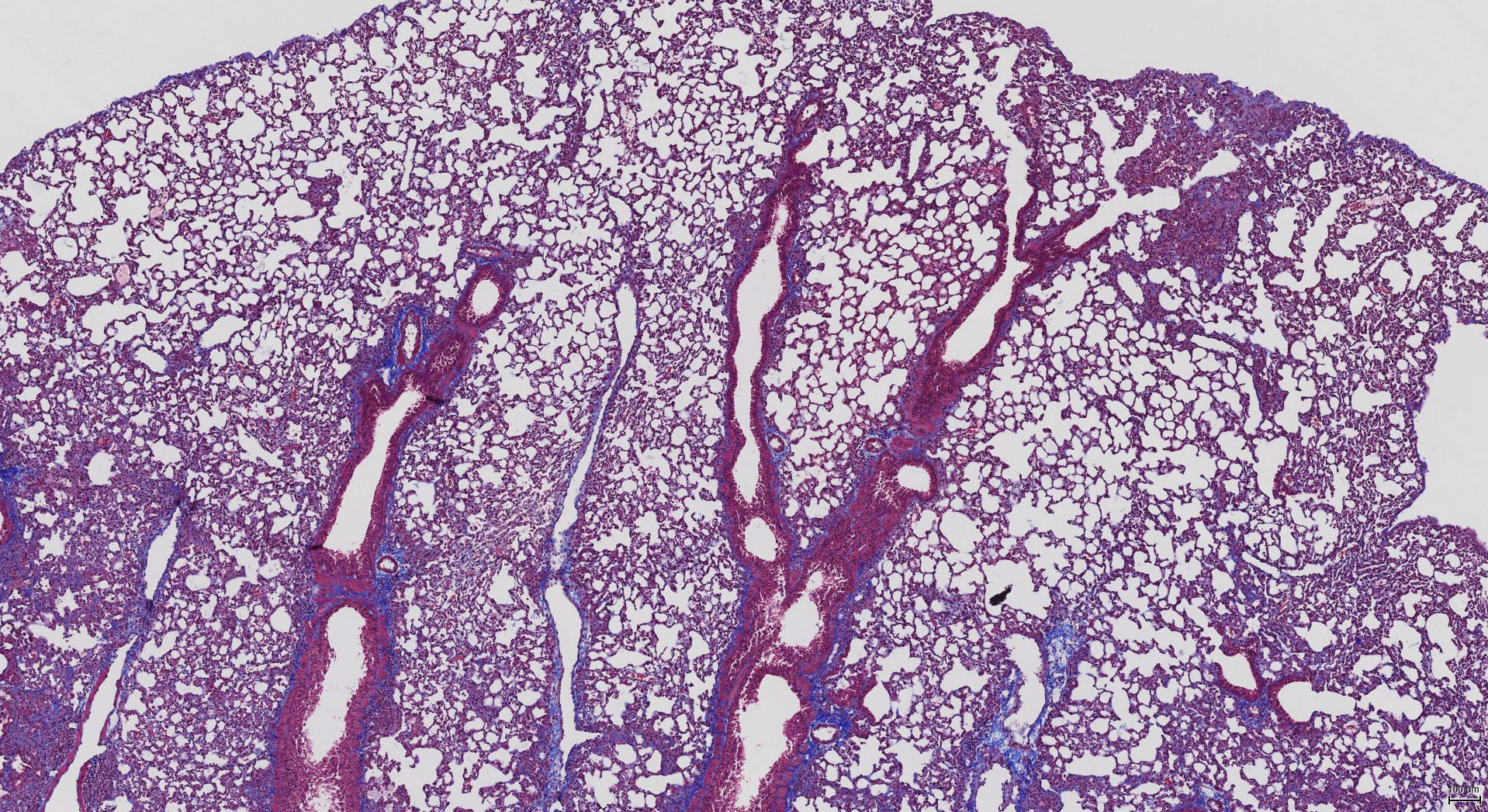
Histological imaging of fibrotic lung
Blocking IL11 using an anti-IL11 therapy prevents the activation of lung myofibroblasts and reverses lung fibrosis. Picture at top is the control; picture at bottom is after treatment with the antibodies developed by the researchers. (Photo credit: Dr Benjamin Ng)


Reference: Ng, B., Dong, J., Viswanathan, S., & D’Agostino, G., et al. IL-11 is a therapeutic target in idiopathic pulmonary fibrosis. Science Translational Medicine. 2018.  doi: 10.1101/336537


For media enquiries, please contact Federico Graciano, Duke-NUS Communications.

Browser not supported

Modern websites need modern browsers

To enjoy the full experience, please upgrade your browser

Try this browser