Back
Thursday, 07 Nov, 2024
Groundbreaking Duke-NUS research unlocks precision therapy for drug-resistant leukaemia
- Duke-NUS scientists investigated how an inherited genetic variation common among East Asians contributes to drug resistance in cancer cells, driving more aggressive cancer growth.
- The team trialled a precision therapy for this group by blocking the action of a protein called MCL-1, successfully killing many of the cancer cells in laboratory studies.
Singapore, 07 November 2024 — Scientists from Duke-NUS Medical School and their collaborators have identified an inherited genetic variation prevalent among East Asians that contributes to drug resistance, driving the aggressive growth of cancer cells in patients with chronic myeloid leukaemia. To address this, the team’s pioneering approach involves inhibiting the action of a protein called MCL-1, with laboratory studies showing promising results in effectively killing cancer cells resistant to conventional treatments. These findings, which were published in the journal Leukemia, demonstrate the importance of genetic profiling to develop precise and more effective treatments for patients with cancer.
One sixth of human cancers harbour genetic variations but few studies have established how that affects treatment outcomes. The team sought to answer this question by honing in on an inherited genetic variation that affects patients with leukaemia.
In 2020, leukaemia (cancer of the blood) accounted for approximately 2.5 per cent of all new cancer cases and 3.1 per cent of deaths globally1. Of these, chronic myeloid leukaemia (CML) is a subtype that primarily affects the bone marrow, which produces blood cells.

The research team: (from left) Dr Giselle Nah, Duke-NUS research fellow; Dr Yu Mengge, Duke-NUS research fellow; Prof Ong Sin Tiong, Duke-NUS’ Cancer and Stem Cell Biology Programme; Duke-NUS Associate Professor Charles Chuah // Credit: Duke-NUS Medical School
The Duke-NUS scientists, in collaboration with their partners, including Singapore General Hospital and The Jackson Laboratory, developed the first pre-clinical model with a common genetic variation among the population of the East Asian region, which includes Chinese, Japanese and Korean people. About 12 to 15 per cent of people from this region carry an inherited genetic variation in a protein called BCL-2 interacting death mediator (BIM), which is crucial for regulating cell death to eliminate damaged or unwanted cells. Many cancer treatments trigger this process to destroy tumour cells.
The researchers then conducted a series of experiments using their specially designed pre-clinical model, showing that the variation results in the production of alternative versions of the BIM protein, which, in turn, helps cancer cells evade cell death. Consequently, the tumour cells survive longer and are able to multiply more aggressively, contributing to disease progression.
One of the most common treatments for chronic myeloid leukaemia is a class of drugs known as tyrosine kinase inhibitors, with imatinib being one of the most widely used. However, patients with the BIM variation often don’t respond well to imatinib, with fewer cancer cells being killed by the treatment.
Dr Giselle Nah, a research fellow from Duke-NUS’ Cancer and Stem Cell Biology Programme and a first author of the study, said:
“We discovered that leukaemia cells with the BIM variation had higher survival rates compared to those without it. Specifically, these cells were resistant to the cell death that imatinib would typically induce. This resistance allowed the leukaemia to progress more aggressively.”
To dig deeper into the mechanisms at play, the team used advanced profiling techniques to study how different cancer cells depend on various proteins for survival.
Joint first author Dr Yu Mengge, a research fellow from Duke-NUS’ Cancer and Stem Cell Biology Programme, said:
“We found that leukaemia cells with the BIM variation relied heavily on a protein called MCL-1 to stay alive. This important discovery revealed a potential vulnerability in these imatinib-resistant cancer cells that could be targeted with new and more effective treatments.”

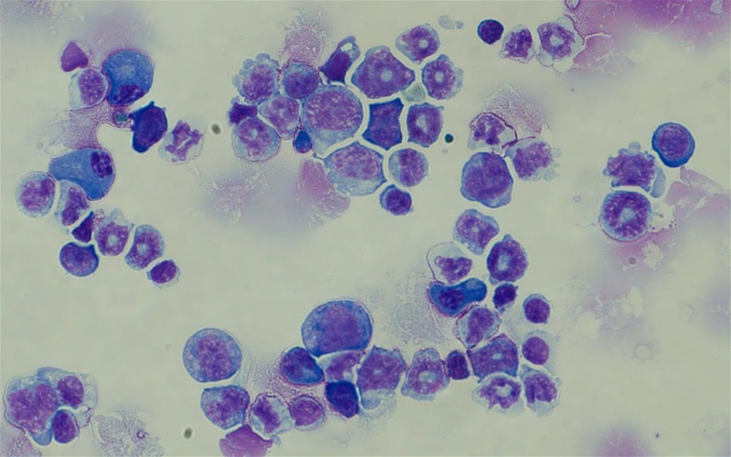
Leukaemia cells with the BIM variation under a microscope.
Such cells often don’t respond well to imatinib, a common type of drug used to treat the disease, but when an MCL-1 inhibitor is added, treatment is more effective with more cancer cells being killed. // Credit: Duke-NUS Medical School
Professor Ong Sin Tiong, a clinician-scientist from Duke-NUS’ Cancer and Stem Cell Biology Programme and the study’s senior author, said:
“Based on what we learnt, we tried a new treatment that combined an MCL-1 blocker with imatinib. The results were encouraging, as the combination was much more efficient at killing the resistant leukemia cells than using imatinib alone. This indicates that targeting MCL-1 could help tackle the resistance found in chronic myeloid leukaemia patients with the BIM variation, to reduce the chances of disease progression.”
For patients with this variation, this discovery could be a game-changer.
Duke-NUS Associate Professor Charles Chuah, a Senior Consultant at the Department of Haematology, Singapore General Hospital and National Cancer Centre Singapore, collaborated on the study. He said:
“Getting the right cancer treatment as early as possible is crucial in improving patient outcome and quality of life. Given the prevalence of the BIM variation in the East Asian population, it is crucial to understand its impact on cancer treatment. Our findings suggest that genetic testing for this variant at diagnosis can improve outcomes by identifying patients who may benefit from more aggressive treatments.”
These findings could have significant implications for other cancers, such as certain types of lung cancer, where treatment is administered by triggering the BIM protein to kill tumour cells. The scientists hope to conduct further research in this area to deliver the benefits of precision medicine to more patients.
Duke-NUS is a global leader in medical education and a biomedical research powerhouse, combining basic scientific research with translational know-how to bring a better understanding to common diseases and develop new treatment approaches to improve the lives of people in Singapore and beyond.
Reference: DOI: 10.1038/s41375-024-02418-0
For media enquires, pls contact Duke-NUS Communications.
[1] Sung H, Ferlay J, Siegel RL, Laversanne M, Soerjomataram I, Jemal A, et al.. Global Cancer Statistics 2020: GLOBOCAN Estimates of Incidence and Mortality Worldwide for 36 Cancers in 185 Countries. CA: A Cancer J Clin (2021) 71(3):209–49. doi: 10.3322/caac.21660